Smile Makeover

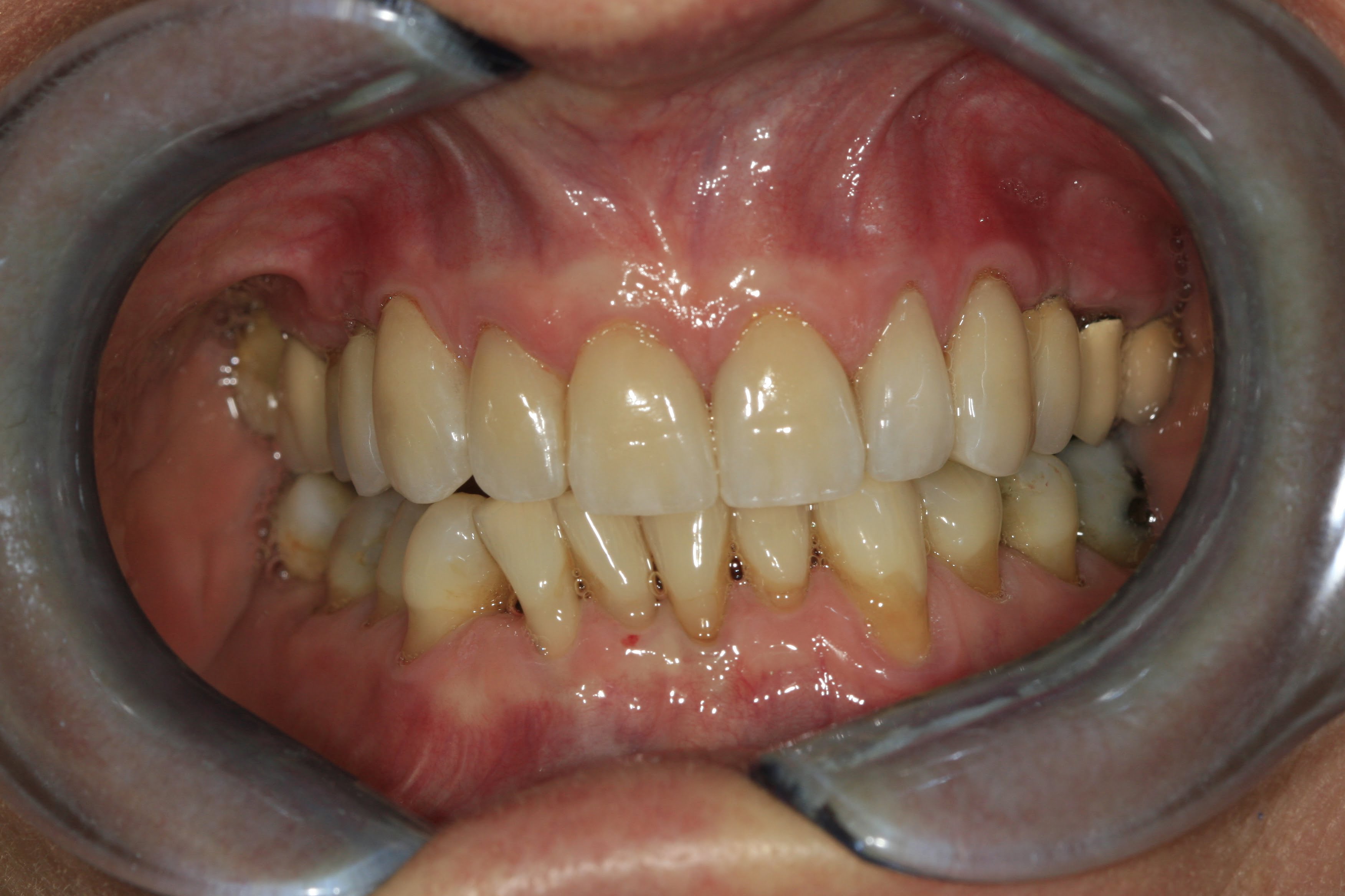
Case 1: Smile makeover – CROWNS, VENEERS, IMPLANT, AND STAIN REMOVAL


Case 2: COMPOSITE BUILD-UPS TO CORRECT TOOTH WEAR


Case 3: Smile makeover


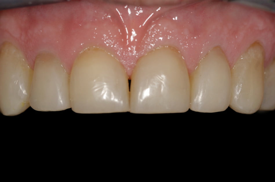
Case 4: Veneers to Upper Front Teeth, Composite Buildups to Correct Wear, and Tooth Whitening


Case 5: Smile makeover


Case 6: Composite build ups to correct tooth wear


Case 7: Composite build ups to worn and chipped top front teeth to improve appearance


Case 8: Smile makeover


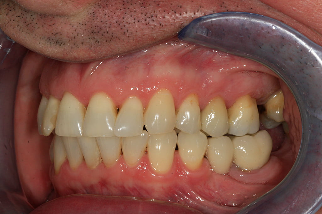
Case 9: BRIDGE REPLACEMENT TO IMPROVE APPEARANCE AND FUNCTION


Case 10: Veneers to Upper Front 6 Teeth To Improve Appearance and Implant to Fill Gap Upper Left


Case 11: Replacement of Old Amalgam Fillings, Crowns, and Bridges To Fill Two Lower Gaps


Case 12: Lower Implants to Fill Gaps, Multiple Crowns on Upper Arch, Bridge to Fill Upper Right Gap and 2 Veneers to Bottom Front Right Teeth.

Case 13: Implants & Crowns/Bridges to Replace Old Broken 8 Unit Bridge On Top Arch

logo logo logo logo logo logo logo