
Give Your Smile The Royal Treatment
Protecting your teeth is our number one goal. However, in addition to ensuring that your mouth is healthy, intact, and functions well, we also want you to be aware of the variety of treatments available to improve and beautify your smile. Your smile will naturally begin to show signs of wear and tear as we age. However, there are simple treatments to whiten and brighten your smile as well as more complex treatments available to restore your smile. Whatever dental issue you may be facing, we can give your smile the royal treatment helping you to regain health, enhance appearance, improve function, and restore confidence.
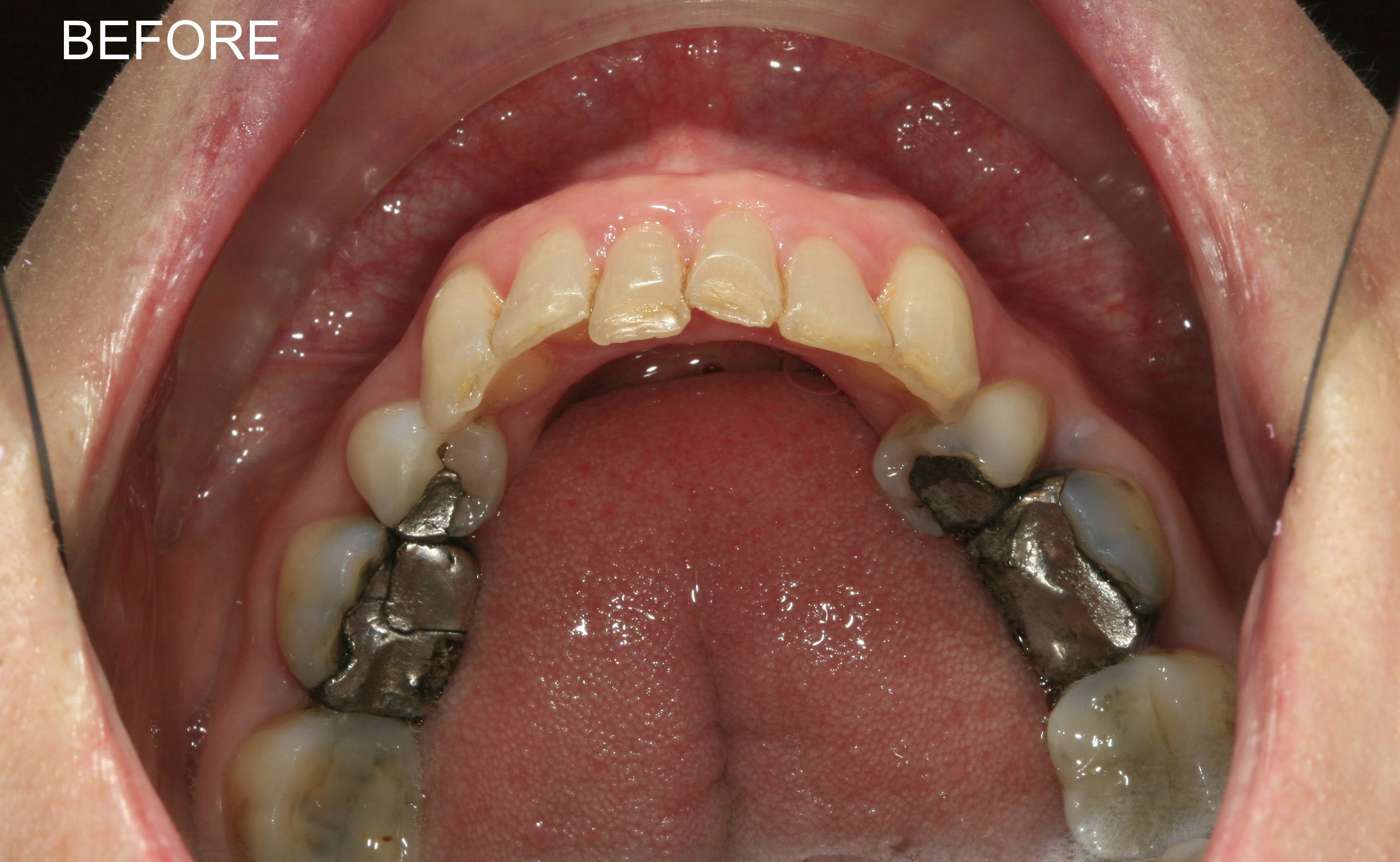
This patient came to us with several dental issues. The lower first molars had been filled by a previous dentist with very large amalgam fillings which were now cracking and degrading. This was a considerable cause of concern. If left untreated, these teeth are prone to significant breakage which may compromise the teeth leading to extraction. The patient’s lower front teeth also showed signs of wear and chipping along the edges of the teeth. This uneven wear contributed to the lower teeth looking out of alignment. There were also smaller amalgam fillings in the premolar teeth and underlying issues with the patient’s bite.
The photos above illustrate Tim Barker’s treatment for this patient which has transformed the look of the patient’s lower teeth. What Tim did in this case is to crown the lower first molars which contained the large amalgam fillings. The crowns will protect and strengthen the remaining natural tooth structure preventing the teeth from further breakage and ultimately potential loss of the teeth. The smaller amalgam fillings were replaced with tooth coloured composite and are now indistinguishable from the natural tooth. Cosmetically these white fillings not only enhanced the look of the teeth but also allowed Tim to create a more stable bite for this patient. Similarly the composite build ups on the lower front teeth allowed Tim to adjust the patient’s bite improving function and to very skilfully create a much more even appearance of these lower front teeth.
If you would like to give your smile the royal treatment, please ring our reception team on 01489 572308 who can book a free consultation for you with one of our experienced dentists.
Our patient reviews on DentistFinder.net | Emergency information | Complaints | Quality Assurance Policy | Privacy Policy | Website Privacy Policy
Barker Dental is part of the TDMP Group network of partnerships.











What's your opinion?
You must be logged in to post a comment.